SANATATE

Cum te poți îmbolnăvi de plămâni din cauza șosetelor

Foto: Pinterest.com

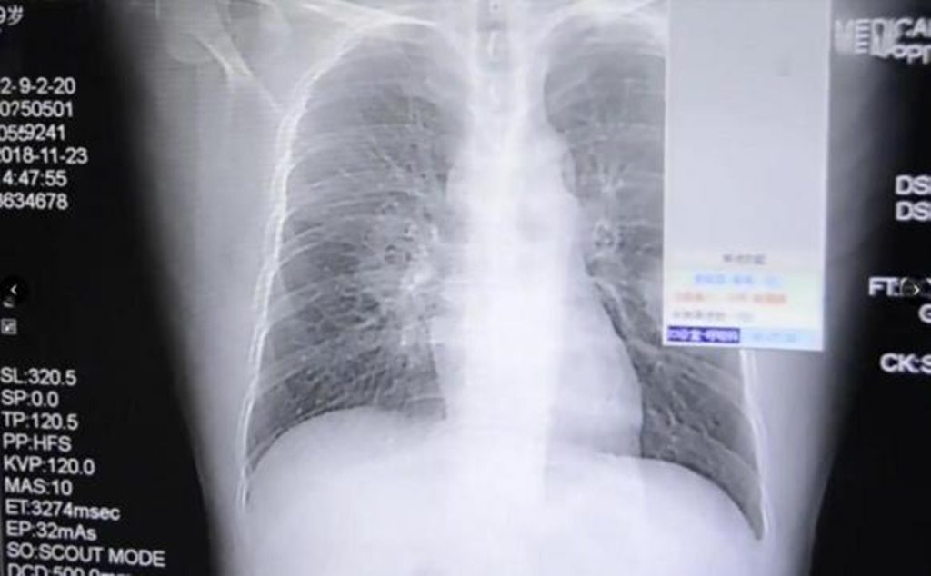
Un bărbat a ajuns la spital cu o infecție fungică severă la plămâni provocată de un obicei respingător pentru mulți și deloc igienic. Bărbatul făcuse o obsesie din a-și mirosi șosetele la sfârșitul zilei. Iar acest obicei l-a adus la spital.

CITEȘTE ȘI: Cura cu DROJDIE DE BERE, dieta recomandată în sezonul rece. Află de ce!

Bărbatul din China a povestit că obișnuiește ca atunci când ajunge acasă, după o zi de muncă, să se schimbe în haine mai confortabile, să își scoată șosetele pe care le miroase îndelung. Medicii sunt de părere că acest obicei este și cel care i-a provocat o gravă infecție pulmonară, scrie The Sun.

Foto: thesun.co.uk

Explicația dată de specialiști este că bărbatul avea o ciupercă pe picior, microbul fiind transmis prin nas spre plămâni.

CITEȘTE ȘI: 6 Modalități de REPARARE a mâncării dacă ai pus prea multă SARE

Bărbatul din Zhangzhou, provincia Fujian din sud-estul Chinei, a fost internat și urmează un tratament. Medicii spun că infecția este tratabilă, însă îi recomandă bărbatului să renunțe la obiceiul său.

Comentarii: